Hogar>Noticias
Caso compartido | CLI Oclusión crónica tratada con ThorCrack IVL
-
2025-06-06
-
LEPU
Caso clínico destacado: oclusión crónica CLI tratada con ThorCrack IVL
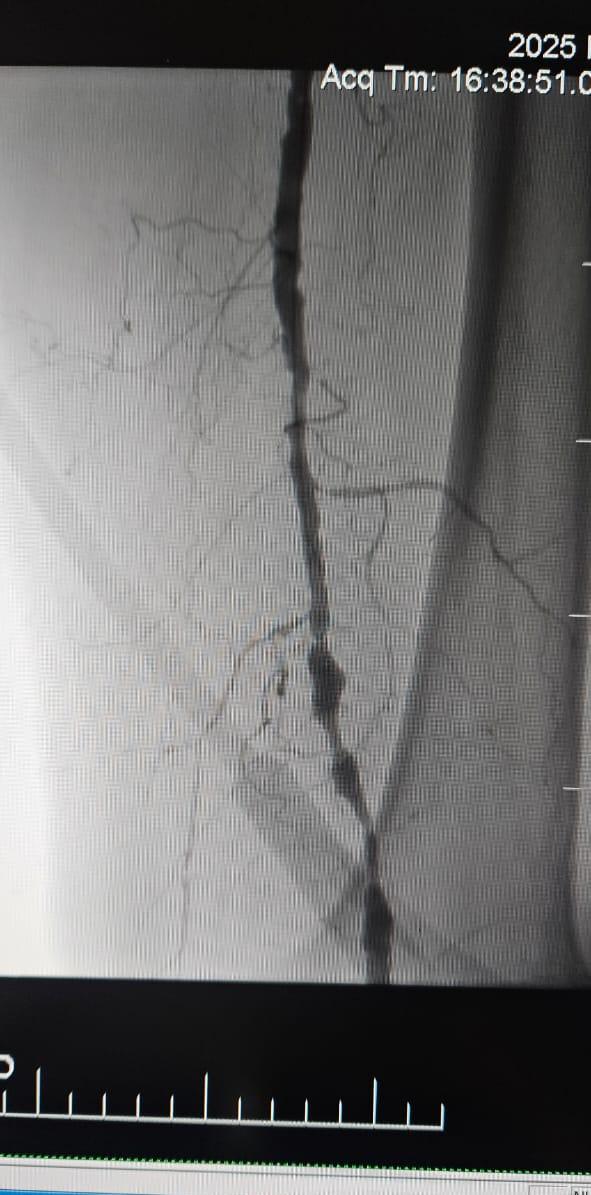
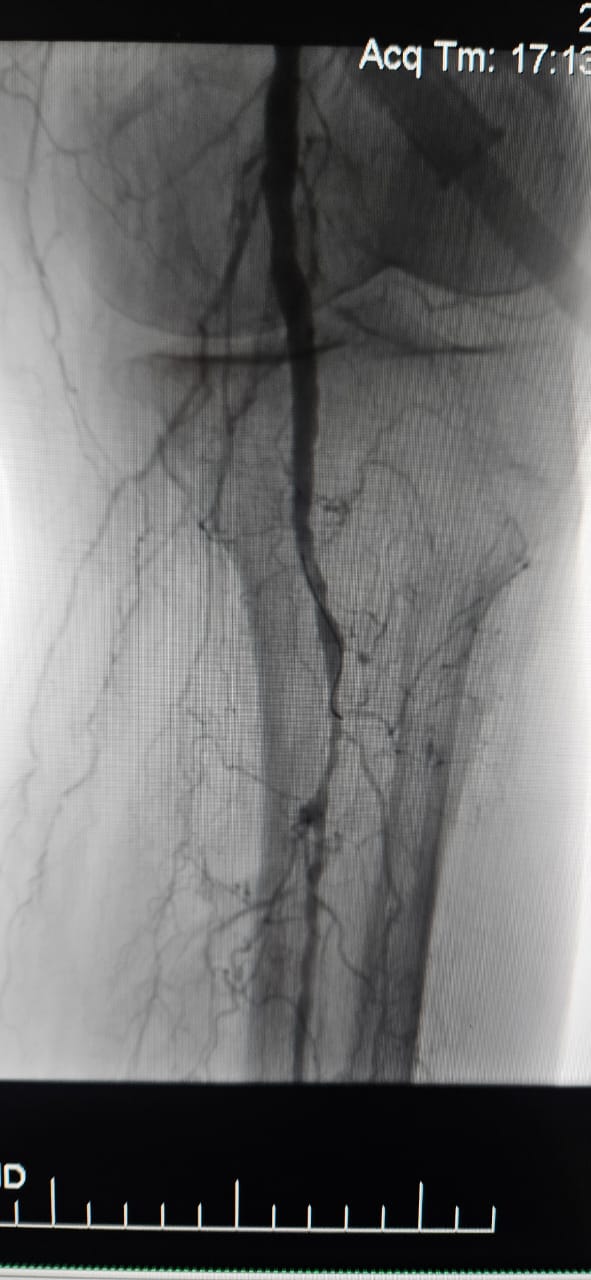
Nos complace compartir un caso exitoso de un hospital en Batumi, Georgia, donde un paciente femenino de 78 años con Isquemia Crítica de Extremidades (CLI) causada por oclusión total crónica de la arteria del miembro inferior mostró una mejoría clínica notable después del tratamiento con el sistema periférico de catéter de dilatación con balón IVL de ThorCrack.
Acerca del catéter periférico de dilatación con balón IVL de ThorCrack
El catéter periférico de la dilatación del globo de ThorCrack IVL se diseña específicamente para la dilatación de la preparación y del globo de la lesión de estenosis calcificadas (el ≥ 50%) en: Arteria ilíaca, arteria femoral, arteria de Iliofemoral, arteria de Popliteal, arteria renal, arterias de Infrapopliteal (debajo-la-rodilla)
Especificaciones clave:
Máximo IVL pulsos: 300
Pulsos de IVL para el ciclo: 30 (10 ciclos)
Diámetros de globo (mm): 3,0/3,5/4,0/4,5/5,0/5,5/6,0/6,5/7,0
Longitudes de globo (mm): 40 / 60
Compatible guidewire: 0.014"
Este caso subraya el valor clínico de la litrotripsia intravascular (IVL) en el tratamiento de casos complejos de CLI con oclusión crónica de segmento largo, particularmente en pacientes con calcificación pesada, donde los balones tradicionales o los dispositivos de aterectomía pueden tener una eficacia limitada.
Estamos orgullosos de ver a ThorCrack IVL capacitar a los médicos de todo el mundo para superar lesiones calcificadas, restaurar la perfusión y mejorar los resultados de los pacientes en la enfermedad arterial periférica compleja.
Contact us>>Marketing@lepu-medical.com
Visit lepumedical website for more >>en.lepumedical.com



