¡Buenas noticias! El globo IVL de Lepu Wescrack permite un tratamiento exitoso de calcificación coronaria en Chile
-
2025-09-02
-
LEPU
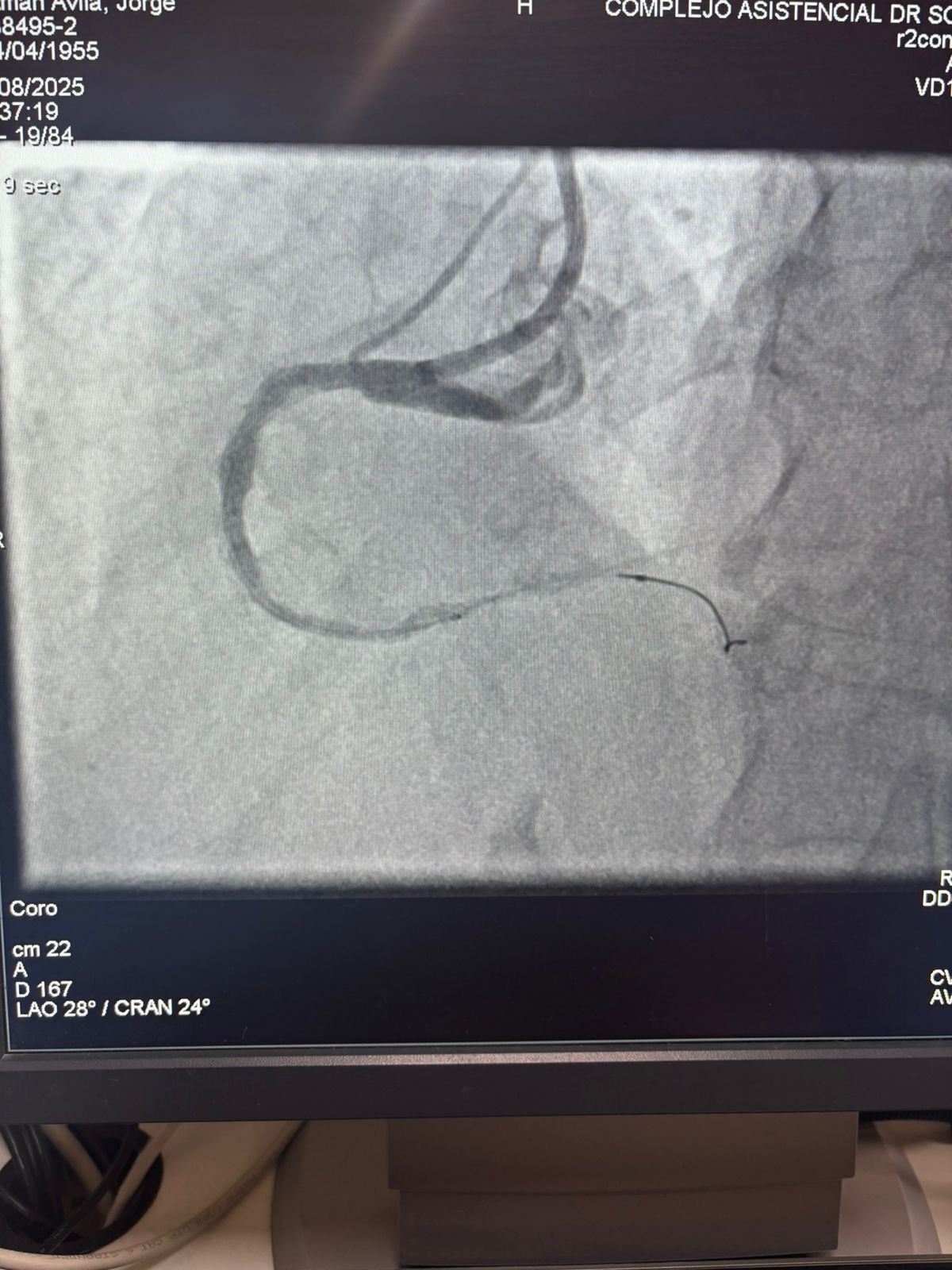
Estamos orgullosos de compartir un caso notable del Hospital Sótero del Río, Chile, donde el Dr. Martín Valdebenito trató con éxito una lesión muy calcificada en la arteria coronaria derecha (primera curva) utilizando nuestro sistema de catéter de dilatación con balón IVL coronario de Vasscrack.
El procedimiento logró resultados sobresalientes, con la región calcificada efectivamente agrietada y el flujo del vaso restaurado. Esto marca otro hito en la expansión del acceso global a soluciones avanzadas para la calcificación coronaria compleja.
La comparación entre las imágenes angiográficas previas y posteriores al procedimiento demuestra claramente el impacto clínico significativo de nuestra tecnología IVL.
En Lepu Medical, seguimos comprometidos con capacitar a los médicos de todo el mundo con soluciones innovadoras que transforman los casos desafiantes en resultados exitosos.
Contact us>>Marketing@lepu-medical.com
Visit lepumedical website for more >>en.lepumedical.com




***This product is presented for academic exchange purpose only and is not intended for sale within European Union.***
