Case Sharing | Cierre de PFO de túnel largo con oclusor biodegradable MemoSorb
-
2025-04-28
-
LEPU
30-Year Migraine Relief & 1-Year Follow-Up: Long-Tunnel PFO Closure with MemoSorb Biodegradable Occluder
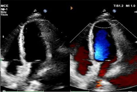
Today, we share a remarkable case highlighting 1-year post-op outcomes of MemoSorb in treating a complex long-tunnel PFO (12mm length, 1.4mm width), with a focus on serial echocardiographic evidence of device degradation and clinical symptom resolution.
Aspectos destacados del caso
Perfil del paciente: 53F, 30 años de historia de migrañas (a menudo unilateral, que dura de horas a días), 2 episodios sincopales.
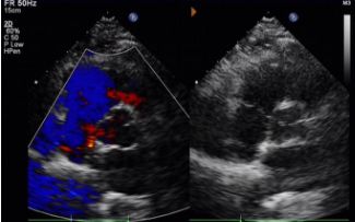
Diagnóstico: Estudio de burbujas positivas.
Implante: 2424 MemoSorb®Oclusor de PFO biodegradable desplegado bajo guía de eco y DSA.
Principales hallazgos de imágenes de seguimiento
Día 1 a 9 meses:
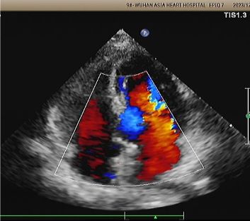
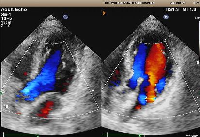
No se observó derivación residual.
Reducción gradual de la ecogenicidad del dispositivo.
Eco de 1 año:
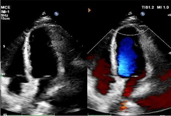
No visible disc structures – replaced by 8mm tissue thickening at the septal implant site.
Zero residual shunt (rest or post-Valsalva).
Se ha confirmado la absorción completa del dispositivo.
Resultados clínicos:
1. Migraine frequency/severity significantly reduced post-implant.
2. No recurrence of syncope or neurological symptoms.
3. Patient-reported improved quality of life.
Contact us>>Marketing@lepu-medical.com
Visit lepumedical website for more >>en.lepumedical.com




