Caso que Comparte | El oclusor biodegradable del PFO de MemoSorb aborda con éxito el cierre ultra-largo del PFO del túnel de 33 milímetros
-
2024-12-27
-
LEPU
Case Sharing | MemoSorb biodegradable PFO occluder successfully tackles the 33mm ultra-long tunnel PFO closure
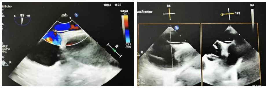
Case Information: A 60-year-old male patient was admitted to the neurology department after experiencing "left-sided limb weakness". The patient underwent a routine transesophageal echocardiogram (TEE), which revealed a patent foramen ovale (PFO) (congenital type, 2.4mm in width, 33mm in length, with moderate shunting). Right heart echocardiography and bubble tests confirmed a grade II shunt.
Estrategia clínica: Se eligió el oclusor simétrico BDPFO-I 2828 para asegurar un cierre óptimo. Durante la fase de liberación, se utilizaron imágenes de DSA para el posicionamiento, mientras que la guía de ultrasonido se empleó principalmente para garantizar un despliegue preciso.
Resumen del caso: Debido a la longitud del túnel, los alambres guía de catéter convencionales y el soporte de la vaina de punción septal no fueron efectivos. Específicamente, se usó un cable guía coronario combinado con una vaina de punción septal en este caso y cruzó con éxito el tabique. Cuando se usan oclusores metálicos tradicionales para cierres de PFO de túnel largo, el material rígido y la posición de cintura fija a menudo evitan que el disco izquierdo se expanda completamente. Esto puede hacer que el disco se tire hacia el túnel, lo que lleva a una deriva residual. En contraste, el oclusor biodegradable, con su fuerte adaptabilidad, permitió que la cintura llenara completamente el túnel y lograra un cierre efectivo.
Este cierre exitoso valida adicionalmente la efectividad de los oclusores biodegradables de PFO en el tratamiento de casos de PFO complejos.
Contact us>>Marketing@lepu-medical.com
Visit lepumedical website for more >>en.lepumedical.com



