Caso compartido | Fractura del húmero diafisal del tercio medio a distal
-
2025-05-12
-
LEPU
Procedimiento: Osteosíntesis percutánea de placas mínimamente invasiva (MIPPO) a través del enfoque anterior con el sistema Ortho-Bridge
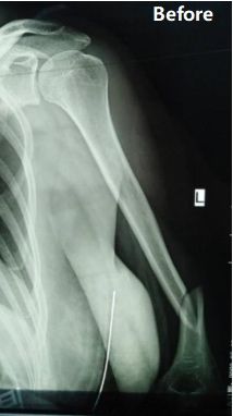
Resumen del caso: Una paciente de 48 años de edad fue diagnosticada como Fractura del tercio medio a distal del eje humeral izquierdo (clasificación AO: tipo B1).
El equipo quirúrgico optó por la osteosíntesis de placas mínimamente invasiva (MIPO) a través del abordaje anterior utilizando un sistema Ortho-Bridge (OBS). La cirugía se completó satisfactoriamente en 90 minutos, con una pérdida de sangre estimada de aproximadamente 150 ml y una longitud de la incisión de aproximadamente 8 cm.
No se requirió fijación externa después de la operación, y el paciente comenzó ejercicios de movilización de la articulación del codo al día siguiente para evitar la rigidez y las adherencias articulares.
Ventajas de la OBS:
1. configuración flexible-fácilmente personalizado para satisfacer diversas necesidades clínicas.
2. mínimamente invasivo-Reduce el trauma quirúrgico para una recuperación más rápida.
3. Safe & Reliable – Ensures secure fixation with high mechanical stability.
4. multi-aplicación-diseñado para su uso a través de diferentes partes del cuerpo.
Contact us>>Marketing@lepu-medical.com
Visit lepumedical website for more >>en.lepumedical.com




