Spotlight clínico | Nuva Flow Diverter en el tratamiento de un aneurisma de arteria comunicante posterior
-
2025-12-18
-
Lepu
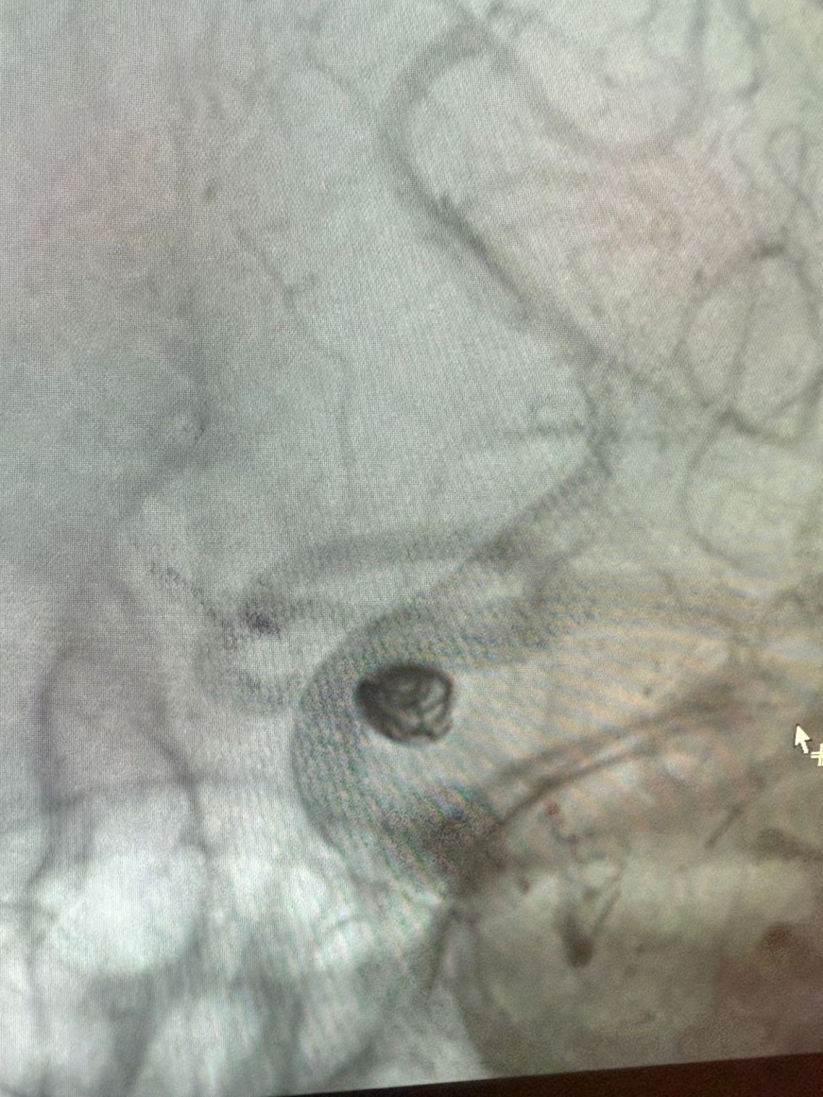
Nos complace compartir un procedimiento exitoso reciente en Clínica Alma Mater, Medellín, realizado por el Dr. Jorge Mutis.
El tratamiento utilizó el Nuva®Desvedor de flujo (TJED-D 5.0-14), Perdenser®Bobina 3D, y el paso de tierra®Microcatéter (TJMC18 Plus) para un aneurisma de arteria comunicante posterior.
Insight clínico:
Dr. Mutis destacó la excelente visibilidad del dispositivo y señaló que la recuperación fue suave. Expresó su gran satisfacción por el resultado final.
TJWY Medical se dedica a proporcionar soluciones neurovasculares confiables y de alta calidad para ayudar a los médicos a brindar la mejor atención a sus pacientes. Agradecemos sinceramente la confianza y la colaboración del Dr. Mutis y el equipo en la elección de nuestros productos para este caso.




