Caso compartido | Calcificación arterial severa de miembros inferiores tratada con IVL periférica ThorCrack
-
2025-09-11
-
LEPU
Perfil contenedor
· Género: Femenino
· Edad: 53 años
·Chief Complaint: Bilateral foot necrosis with black discoloration for >6 months
· Historia médica pasada: hemodiálisis a largo plazo para enfermedad renal terminal, hipertensión y diabetes mellitus con mal control a largo plazo
Los hallazgos clínicos
· Examen físico: Pulsos femorales débiles; ausencia de pulsos poplíteo y dorsalis pedis; ulceración en el primer dedo del pie izquierdo; necrosis en el primer y segundo dedo del pie derecho
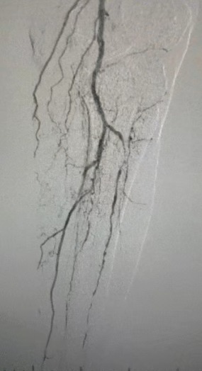
· Imagen preoperatoria: estenosis calcificada difusa y grave en arterias bilaterales de las extremidades inferiores
Enfoque de tratamiento
Dada la condición vascular compleja, seleccionamos el sistema de catéter de dilatación con balón periférico IVL de ThorCrack. Debido a la tolerancia limitada del paciente, se realizaron procedimientos de intervención por etapas en ambas extremidades inferiores.
Resultado quirúrgico
Después del procedimiento, la estenosis arterial mejoró significativamente, el flujo sanguíneo aumentó y la temperatura de la piel aumentó. No hubo complicaciones postoperatorias. Tanto el paciente como el equipo quirúrgico estaban muy satisfechos con los resultados.
Este caso destaca un gran avance en el tratamiento mínimamente invasivo para la arteriosclerosis grave de las extremidades inferiores, proporcionando soluciones más efectivas para casos desafiantes.





