Hogar>Noticias
Seguimiento de 2 años | Oclusor biodegradable de ASD de MemoSorb
-
2025-08-11
-
LEPU
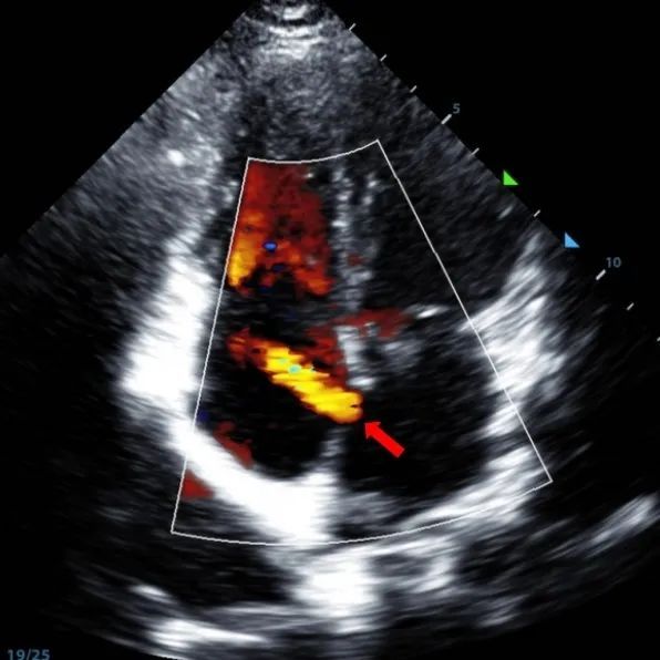
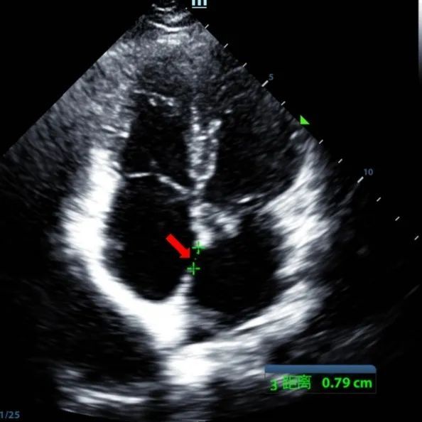
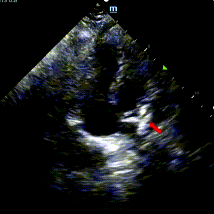
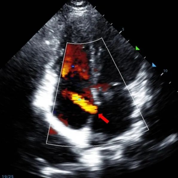
Se trató a un varón de 9 años de edad con ASD secundario (7,5-7,9mm) usando un oclusor de 12mm BDASD-I MemoSorb y un sistema de administración de 12F. No se observaron complicaciones ni comorbilidades antes del procedimiento.
Serial echocardiographic follow-ups showed stable device position and favorable cardiac remodeling. Gradual degradation confirmed the occluder's long-term safety and efficacy.
Contact us>>Marketing@lepu-medical.com
Visit lepumedical website for more >>en.lepumedical.com




