Caso compartido | Cierre de ASD biodegradable bajo la guía de TTE solo en pacientes coronarios anómalos
-
2025-08-11
-
LEPU
At Fuwai Hospital Shenzhen, Dr. Lu Yaoxing's team recently performed a successful transcatheter closure of a secundum atrial septal defect (ASD) using a MemoSorb biodegradable occluder in a 34-year-old male patient with a rare coronary anomaly.
Información clave sobre el caso:
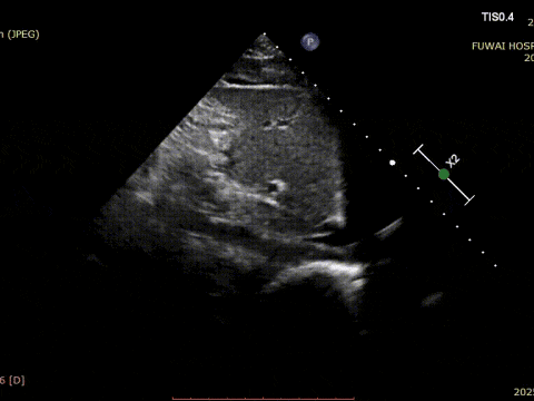
1 El TEA fue central en la ubicación, con un diámetro medido de aproximadamente 8,1mm (vista bicaval) y 8,2mm (vista aórtica de eje corto).
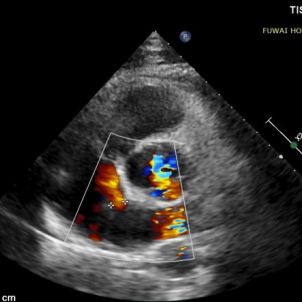
2 La ATC coronaria reveló un origen anómalo de la arteria circunfleja izquierda (LCX) del seno coronario derecho, con un curso entre la aorta y la aurícula izquierda.
La distancia entre el ASD y el LCX aberrante fue de sólo 6mm.
4. No había borde aórtico, y los bordes inferior y posterior eran relativamente blandos.
Dada la proximidad del defecto a la arteria coronaria, un oclusor metálico tradicional planteaba un riesgo de compresión, especialmente durante el esfuerzo físico. Por lo tanto, se seleccionó un oclusor de ASD biodegradable (BDASD-I 18mm) por su flexibilidad, menor riesgo de lesión mecánica a largo plazo y capacidad para degradarse en dióxido de carbono y agua después de completar la función de cierre.
El procedimiento fue guiado por TTE siguiendo el procedimiento PAN desarrollado en el Hospital Fuwai. Esta técnica de imagen en tiempo real sin radiación ofrece una visualización anatómica de alta resolución, lo que garantiza una colocación precisa del dispositivo y minimiza las complicaciones, especialmente en pacientes jóvenes en edad reproductiva.
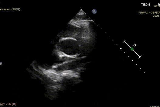
1-day postoperative TTE revealed that the occluder is in good shape without residual shunt (see last figure).
Contact us>>Marketing@lepu-medical.com
Visit lepumedical website for more >>en.lepumedical.com



