Clinical Spotlight | Tratamiento multianeurisma con Nuva®Desvflow y Perdenser®Sistema Embolic de la bobina
-
2025-07-23
-
LEPU
Paciente: Mujer, 48 años
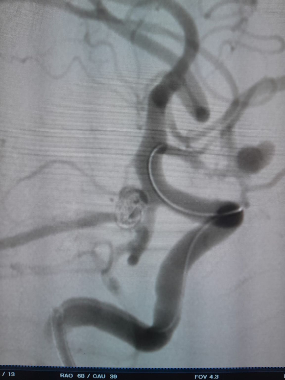
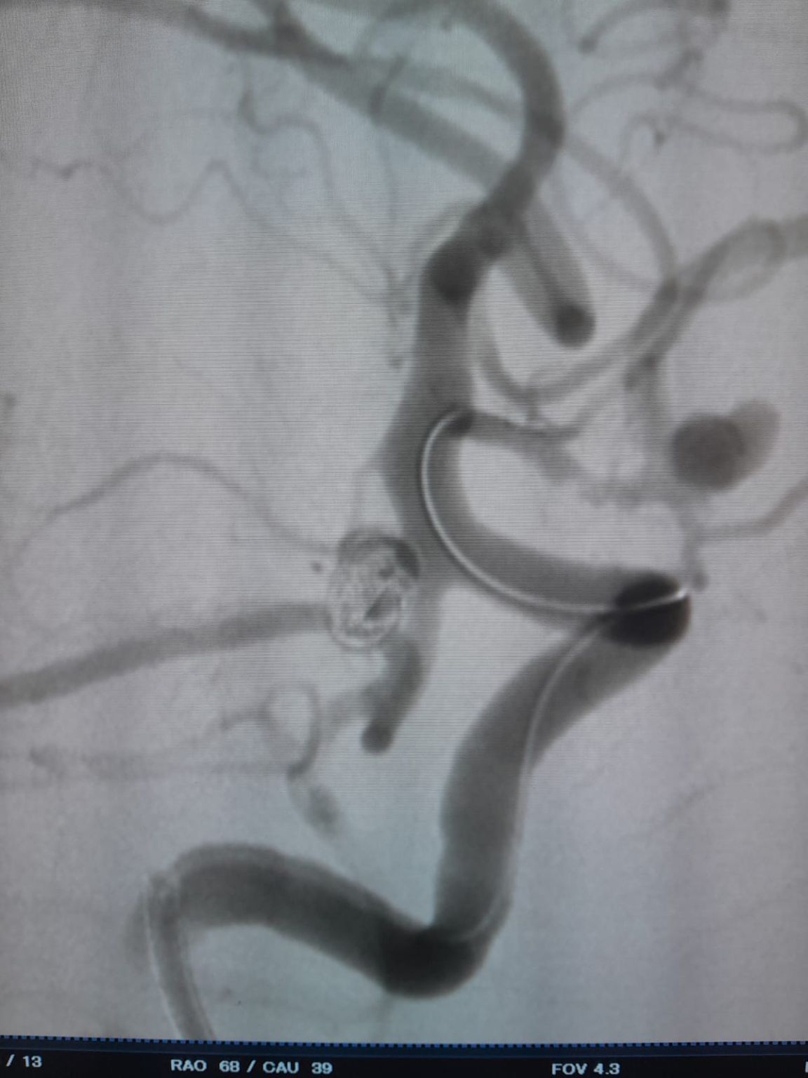
El paciente fue diagnosticado con un aneurisma de la arteria comunicante anterior (AComA) recién descubierto y un aneurisma de la arteria comunicante posterior (PComA) que había sido tratado previamente con embolización con espiral. Las imágenes de seguimiento revelaron un relleno residual en el aneurisma PComA, que requirió una intervención adicional.
Procedimiento
Aneurisma de arteria comunicante anterior
Se estableció el acceso vascular y el equipo luego navegó con éxito el®Microcatéter desechable (TJMC14) al sitio objetivo. La embolización se realizó utilizando tres Perdenser®Sistema de bobina embólica (TJCST4.508-3D, TJCST0306-3D, TJCST0206-3D) desplegado con el Deromper®Controlador de desprendimiento de bobina (TJCDC).
Aneurisma de la arteria comunicante posterior (re-tratamiento)
Durante el seguimiento, se observó llenado residual en el aneurisma de la arteria comunicante posterior tratado previamente. El equipo reingresó al sitio usando el sistema de acceso a través de la aplicación de la tarjeta de crédito®Microcatéter desechable (TJMC18 Plus) e implementado con éxito un Nuva®Desviador del flujo (TJED-D-4.5-16), que demostró aposición ideal de la pared y desviación excelente del flujo, llevando a los resultados altamente satisfactorios del tratamiento.
Información sobre perdenser®Y Nuva®-Soluciones confiables para la gestión de aneurismas complejos
Perdenser-Perdenser®: Embolización precisa, de alta densidad
Conformabilidad excelente y alta densidad de empaquetamiento para la oclusión estable del aneurisma.
Una gama completa de tamaños para enmarcar, relleno y acabado.
Deromper®Sistema de desprendimiento proporciona un mecanismo de liberación instantánea segura y fiable.
Nuva®Solución eficaz para los aneurismas recurrentes
Una solución eficaz para los aneurismas con relleno residual o la recurrencia después de enrollar inicial.
Navegación fluida y despliegue fiable.
Excelente aposición de pared y desviación de flujo estable.
Nuva®Simplifica el retratamiento, reduce la complejidad del procedimiento y mejora los resultados a largo plazo.
Dr. Rivera highly praised the handling, deliverability, and clinical results of TJWY's products, emphasizing their efficiency and reliability in complex aneurysm interventions. The smooth procedural experience and favorable imaging outcomes further strengthened his confidence in TJWY's neurointerventional solutions.
Contact us>>Marketing@lepu-medical.com
Visit lepumedical website for more >>en.lepumedical.com




