Spotlight Clínico | Nuva®Desvías el flujo para la gestión recurrente del aneurisma
-
2025-08-04
-
LEPU
Paciente: Hombre, 58 años
Diagnóstico: Aneurisma de la arteria comunicante posterior derecha, previamente tratado con embolización de bobina
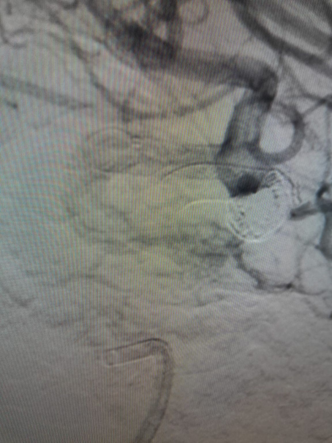
Procedimiento:
El procedimiento fue realizado con éxito en la Clínica Centenario por el Dr. Rivera, con el apoyo de su equipo clínico. El acceso vascular se estableció mediante punción de la arteria femoral. Un microhilo fue cuidadosamente navegado al sitio de destino, seguido por el avance suave de la®Microcatéter desechable (TJMC18 Plus). Después de una medición precisa del aneurisma, un Nuva®Se seleccionó el desván de flujo (TJED-D-4.5-14) y se desplegó con éxito a través del cuello del aneurisma.
El procedimiento se completó sin complicaciones, y el Nuva®Dispositivo demostró aposición de la pared excelente y efecto de desviación de flujo. El equipo clínico reconoció altamente el manejo y el rendimiento del dispositivo.
¿Por qué Nuva®¿?
1. Nuva®Flow Diverter ofrece una navegación suave, incluso en buques previamente tratados con bobinas.
2. el dispositivo asegura un despliegue confiable y aposición de pared excelente.
3. Nuva®Promueve la desviación efectiva del flujo y apoya la reconstrucción de la arteria parental a largo plazo.
4. Simplifica los procedimientos de retratamiento y reduce la complejidad del procedimiento.
5. Nuva®Proporciona una radiopacidad consistente de longitud completa, asegurando una ejecución suave del procedimiento.
Este caso demuestra además que Nuva®Proporciona a los médicos una solución confiable y eficiente para el manejo de los aneurismas recurrentes con precisión y confianza.
Contact us>>Marketing@lepu-medical.com
Visit lepumedical website for more >>en.lepumedical.com





